Neurosurgery Dr. Stoforou – Δρ. Κωνσταντία Στοφόρου – Νευροχειρουργός MD – PhD
Η πρόσθια αυχενική δισκεκτομή με δισκοπλαστική αυχένος είναι η επέμβαση αντικατάστασης αυχενικού δίσκου με τεχνητό έχει σχεδιαστεί για να αντικαταστήσει έναν εκφυλισμένο μεσοσπονδύλιο δίσκο στην αυχενική μοίρα της σπονδυλικής στήλης.
Συνήθως τους εκφυλισμένους αυχενικούς δίσκους είναι πιο πιθανό να τους συναντήσουμε στα επίπεδα Α4-5, Α5-6 ή Α6-7 χωρίς όμως να αποκλείονται και τα υπόλοιπα επίπεδα.
Η εκφύλιση του μεσοσπονδυλίου δίσκου προκαλεί παθολογικές καταστάσεις του τύπου κήλης μεσοσπονδυλίου δίσκου ή ανάπτυξη οστεοφύτων στην περιοχή και πιέζουν τις νευρικές δομές (νωτιαίος μυελός, αυχενικές νευρικές ρίζες) με αποτέλεσμα να προκαλούν ριζοπάθεια, αυχενοβραχιαλγία ή ακόμη και αυχενική μυελοπάθεια.
Η χειρουργική επέμβαση πραγματοποιείται μέσω μιας τομής μίας οριζόντιας ή επιμήκους στο προσθιοπλάγιο τμήμα του τραχήλου ανάλογα με το επίπεδο/α που πάσχει/ουν

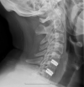
Δισκοπλαστική αυχένος σε δύο επίπεδα
Ο εκφυλισμένος μεσοσπονδύλιος δίσκος αφαιρείται, καθαρίζονται τα παθολογικά οστικά στοιχεία της περιοχής έτσι ώστε να απελευθερωθούν και να αποσυμπιεστούν όλες οι πάσχουσες νευρικές δομές.
Χρησιμοποιώντας καθοδήγηση ακτίνων Χ (C-Arm), εισάγεται ο τεχνητός δίσκος στον χώρο που καταλάμβανε προηγουμένως ο φυσικός δίσκος.
Υπάρχουν πολλά διαφορετικά είδη και υλικά τεχνητών αυχενικών δίσκων.
Η όλη επέμβαση πραγματοποιείται υπό συνεχή ηλεκτροφυσιολογικό έλεγχο.
Οι ασθενείς μπορούν συνήθως να φύγουν από το νοσοκομείο μετά από μία έως δύο ημέρες, με ελάχιστους περιορισμούς δραστηριότητας.